日常生活の中で口元が気になることはございませんか?
歯並びだけではなく、歯の白さや、唇、ほうれい線など、年齢を追うごとに気になってくるお口周り。当院では歯の健康だけでなく、口元の美しさが気になる患者様にも、患者様のお悩みをしっかりとうかがった上で、ご希望に沿ったさまざまな治療法をご提案いたします。
人との食事や会話で楽しく、自信をもって笑顔になれるよう、お口周りのお悩みに真摯に対応いたします。気になる方はお気軽にお問い合わせください。
日常生活の中で口元が気になることはございませんか?
歯並びだけではなく、歯の白さや、唇、ほうれい線など、年齢を追うごとに気になってくるお口周り。当院では歯の健康だけでなく、口元の美しさが気になる患者様にも、患者様のお悩みをしっかりとうかがった上で、ご希望に沿ったさまざまな治療法をご提案いたします。
人との食事や会話で楽しく、自信をもって笑顔になれるよう、お口周りのお悩みに真摯に対応いたします。気になる方はお気軽にお問い合わせください。
銀歯や欠けた歯が気になる、金属アレルギーがあるなど、歯にお悩みの方でも、審美歯科治療で自然歯のように、白く美しい歯が実現可能です。
審美歯科素材のほとんどは歯垢・歯石に強いため変色もしにくく、金属を使用していないため、金属アレルギーの方でも安心です。
当院では様々な審美歯科素材をご用意しておりますので、患者様のご希望やお口の状態に合うものをご提案させていただきます。お気軽にご相談ください。
| 素材 | 特徴 |
|---|---|
| フルジルコニア | 審美歯科治療の中でも最も耐久性に優れた素材で、汚れがつきにくいのが特徴です。 |
| メタルボンド | 内側が金属、外側がセラミックになっており、耐久性に優れています。 |
| ガルバクラウン | 内側が純金、外側がセラミックになっており、金属の耐久性とセラミックの審 美性両方を持ち合わせています。 |
| ハイブリッド | セラミックとレジンを混合させた素材で、セラミックの審美性とレジンの柔軟 性を兼ね備えています。 |
| ラミネート | 素材はセラミックで、つけ爪をつけるような方法で行う治療方法です。 |
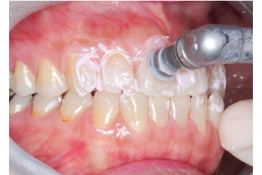
プロフェッショナル・メカニカル・トゥース・クリーニング(PMTC)は歯についた汚れや歯石などを専用器具を使って綺麗に落とす方法です。ご家庭での歯みがきだけでは落とせない汚れを取ることで、見た目も美しくなり、口臭やむし歯、歯周病の予防にもなります。
オフィスホワイトニング
歯科医院で行うホワイトニングのことで、ホワイトニングジェル(使用機材:ブリリカビアンコ)を塗った歯に、機器で光を当てて歯をその場で白くする方法です。ホームホワイトニングに比べて即効性がありますので、短時間で効果を実感できます。
ホームホワイトニング
ご家庭で行うホワイトニングで、歯科医師の指導のもと行います。専用のマウスピースを作製し、そこにホワイトニングジェル(使用薬剤:ルマホワイト)を流してお口に装着させます。オフィスホワイトニングに比べて時間がかかりますが、徐々に白くさせるため長い間効果があります。
当院では決して無理に治療を開始することはありません。
患者様のお悩みやご希望をしっかり伺った上で、治療法をご案内しておりますので、
まずはお気軽に当院までご相談ください。